整形咨詢
三點雙眼皮后多久能恢復
來源:明星美網
時間:2024-08-13 13:29:51
類型:原創
人氣:

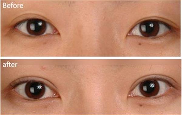
眉清目秀的女孩子總讓人感覺非常的有氣質,這是天生的驕傲,而眼睛好看也是一個人較明顯的標志,眼睛是人前列眼就能注意到的一個部位,所以很多女孩子都特別注意眼睛的裝飾,眼睛大大的才能顯出美麗的容顏。而現實哪有那么如意的地方,很多女孩子都有單眼皮小眼睛的煩惱,這種煩惱影響著她的生活和自信。如果通過貼雙眼皮的方式來完成雙眼皮愿望的話,非常的不自然,一眼就看的出來,所以為了方便快捷的擁有雙眼皮,很多人都通過現在比較熱門的雙眼皮手術來進行整形,其中三點雙眼皮較受熱愛,那三點雙眼皮后多久能恢復?
三點雙眼皮恢復時間每個人的情況不同,身體狀態不同割雙眼皮的恢復的時間也不同。一般的手術2-3天之內會腫的。以后就慢慢的消掉。5-7天就可以拆線。完全恢復到自然的,逼真的話要2-3個月。不可隨便服用止痛藥有關三點雙眼皮手術當日傷口會有些疼痛,但隨著時間的推移會逐漸減輕。求美者不要急于吃去痛片,因為阿斯匹林類藥物會加重傷口血。包括傷口出血、淤血或血腫的防治有關如果三點雙眼皮手術中損傷了小血管或術中止血不徹底,術后眼睛遭到外部撞擊。
- 上一篇:去醫院割雙眼皮要多少錢
- 下一篇:韓式小切口多久能恢復
為您推薦:
猜您喜歡:
- 乳房總是被吃會對身體有危害嗎_微
- 山東十大口腔醫院排行榜,讓你輕松找
- 廣州三甲醫院皮膚科排名|點陣激光
- 北京市打耳洞修復醫院哪家口碑好-
- 深圳皮膚科醫院哪家強,深圳皮膚科
- 北京口腔醫院哪個院區好,北京口腔
- 2023江蘇眼科醫院排名榜前十名!鹽城
- 中山牙科收費價目表曝光,價目表揭
- 做電動負壓吸脂瘦大腿需要多長時間
- 女生們做埋線雙眼皮手術醫治的價格
- 國產普諾明人工晶體怎么樣?是治療白
- 候黎莉上海九院*好的專家是誰(第九
- 2023年喀什地區英吉沙縣皮秒鐳射激
- 蚌埠激光美白整形一般需要價格多少
- 2023昆明激光祛斑正規醫院排名丨藝
- 鄭州哪個醫院看眼科比較好,鄭州眼
- 顴骨有斜紋是什么面相_顴骨一邊高
- 臨沂泉美整形醫院怎么樣-概況-資質
- 瓜子臉整形不適用人群有哪些?
- 劉海擋住眉毛運勢會不好嗎_眉毛顏
- 抽脂手術對比圖 信心秀出自身的A4
- 2023國內眼科醫院排名公布丨上海市
- 2023全國眼科十大排名醫院丨上海九
- 做瓜子臉整形價格
- 四川皮膚科好的醫院排名,四川皮膚
- 隆鼻后修復全過程圖 假體隆鼻比照
- 講講去鵬愛醫療美容醫院做M22光子
- 做洗眉費用
- 沒有下巴的人面相分析_沒有下巴的
- 做處女膜修復怎么樣?好嗎?
- 做洗眉效果如何
- 美膚專家:曹珂醫生簡介 激光祛斑案
- 愛貝芙去除法令紋效果真的好嗎
- 激光祛痘為何非常好
- 臉眶溝填充術都是按照什么什么順序
- 牙齒美容護膚統一推銷技巧
- 柳州市兒童牙齒正畸價格(價目)2023
- 腫眼泡是什么?怎樣治療腫眼泡?
- 玻尿酸隆鼻的危害 有木有呢?
- 福州私立醫院排名前十,哪家才是你的
- 西安看牙科去哪個醫院?排名靠前這五
- 呼和浩特京美整形的劉野醫生資料簡
- 做乳頭內陷矯正價格要多少
- 7900在北京做的硅膠隆鼻怎么樣?整體
- 人中窩加深內切好還是外切效果好(
- 北京大學第三醫院(北醫三院)眼科怎
- 做溶脂瘦肚子的流程是什么?恢復時間
- 免動手術的隆鼻方法——玻尿酸隆鼻
- 深圳光子嫩膚好的三甲醫院排名,深
- 做繡眉需要多長時間?全過程解析
- 做溶脂瘦手臂大概需要多少錢?
- 做下頜角截骨治療效果怎么樣?效果保
- 眉位不正修復手術安全嗎?
- 激光祛咖啡斑術必須條件都有幾種?
- 上下顎手術手術術后護理?
- 我在汕頭曙光整形醫院做了雙眼皮,來
- 警惕!消毒殺菌安全隱患大 美容美發
- 做玻尿酸豐蘋果肌怎么樣?好嗎?
- 盤點鄭州隆胸好的醫院:這幾家醫院口
- 歪鼻矯正醫療費用?歪鼻矯正價格
- 進口的膨體隆鼻費用多少錢
- 注入溶脂瘦臉針多長會看到效果
- 怎樣去除長期黑眼圈?黑眼圈怎么去
- 做水動力吸脂瘦腰需要多少錢?費用是
- 華西醫院整形科哪個醫生好?這篇教你
- 做雙環法矯正乳房下垂的流程是什么
- 做吸脂瘦腰的流程是什么?恢復時間要
- 做真皮固定矯正乳房下垂怎么樣?好嗎
- 去淮北天香醫療美容診所做雙眼皮怎
- 廣州荔灣區人民醫院整形美容中心口
- 喻深意醫生的個人資料簡介,還有口碑
- 全新上海九院整形價格表!想變美的你